reklam
Rize Haber Yemek Tarifleri
crossorigin="anonymous">
Rize
Kapalı
14°
Adana
Adıyaman
Afyonkarahisar
Ağrı
Amasya
Ankara
Antalya
Artvin
Aydın
Balıkesir
Bilecik
Bingöl
Bitlis
Bolu
Burdur
Bursa
Çanakkale
Çankırı
Çorum
Denizli
Diyarbakır
Edirne
Elazığ
Erzincan
Erzurum
Eskişehir
Gaziantep
Giresun
Gümüşhane
Hakkari
Hatay
Isparta
Mersin
İstanbul
İzmir
Kars
Kastamonu
Kayseri
Kırklareli
Kırşehir
Kocaeli
Konya
Kütahya
Malatya
Manisa
Kahramanmaraş
Mardin
Muğla
Muş
Nevşehir
Niğde
Ordu
Rize
Sakarya
Samsun
Siirt
Sinop
Sivas
Tekirdağ
Tokat
Trabzon
Tunceli
Şanlıurfa
Uşak
Van
Yozgat
Zonguldak
Aksaray
Bayburt
Karaman
Kırıkkale
Batman
Şırnak
Bartın
Ardahan
Iğdır
Yalova
Karabük
Kilis
Osmaniye
Düzce
Rize
00:00:00
Yatsı vaktine kalan
Ara

Trabzonspor'dan Onuachu'nun sakatlığına dair açıklama

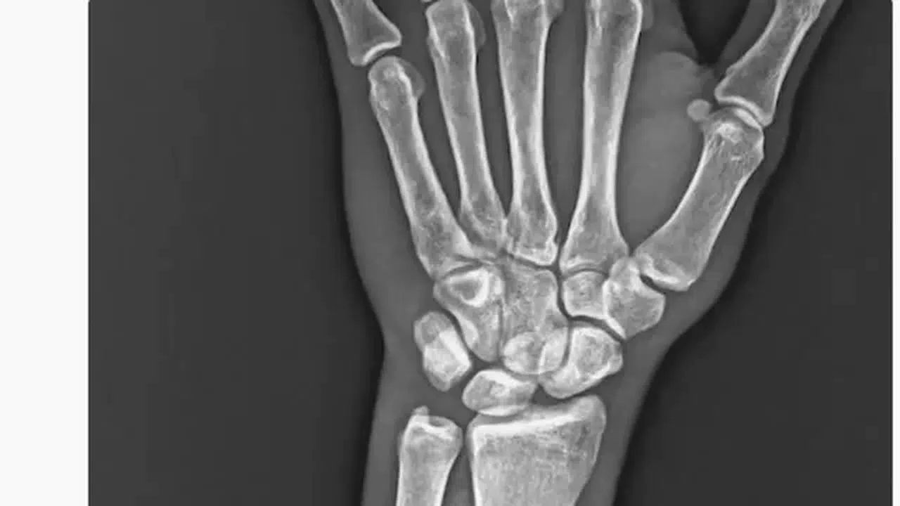
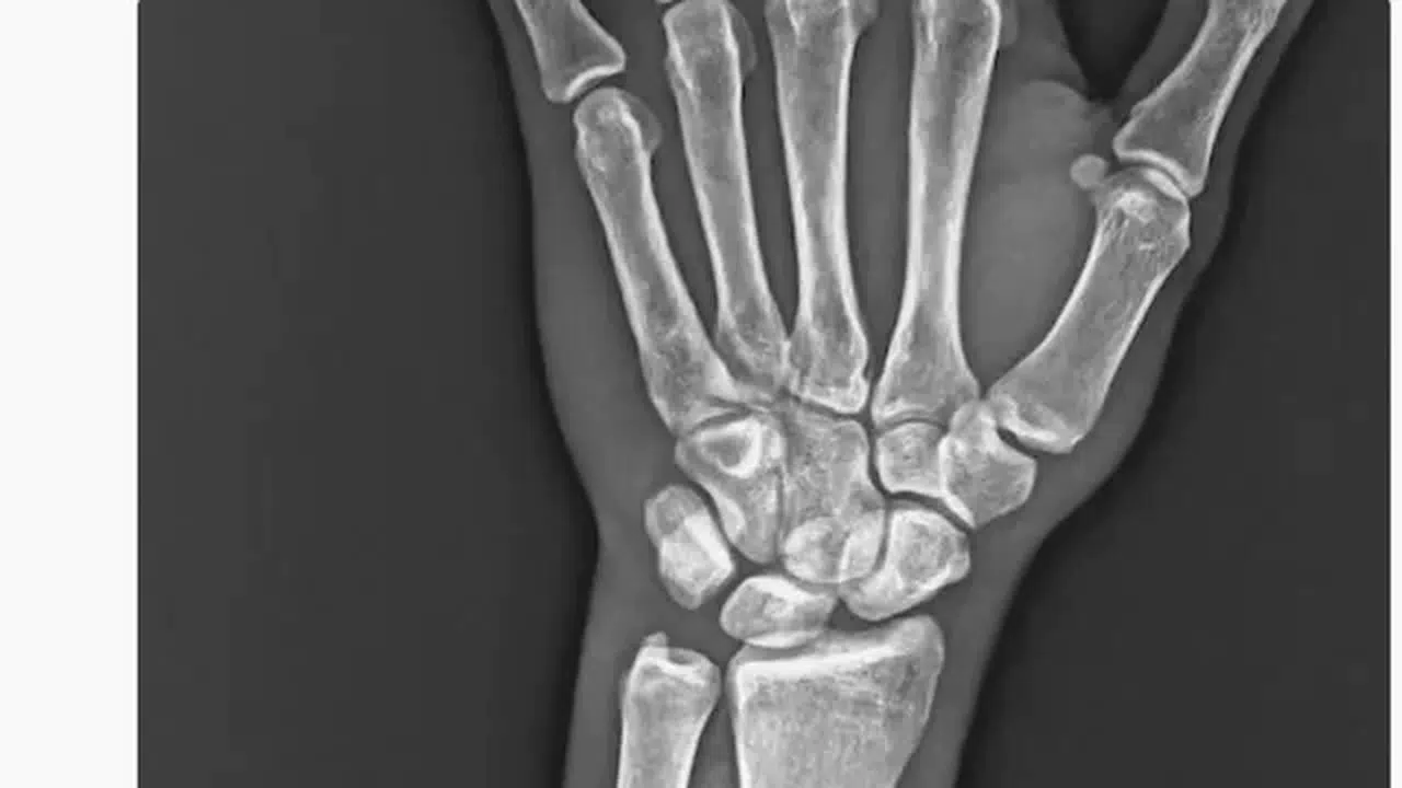
Trabzonspor, Başakşehir ile oynadıkları maçta sakatlanan Paul Onuachu'nun sol kasık kas bölgesinde yaralanma ve sol ön kolda darbeye bağlı kemik kırığı tespit edildiğini açıkladı.

Trabzonspor, Başakşehir ile oynadıkları maçta sakatlanan Paul Onuachu'nun sol kasık kas bölgesinde yaralanma ve sol ön kolda darbeye bağlı kemik kırığı tespit edildiğini açıkladı.Trabzonspor Sağlık Kurulu Başkanı Doç. Dr. Ahmet Beşir, Trabzonspor’un Başakşehir’i 1-0 mağlup ettiği Ziraat Türkiye Kupası Çeyrek Final maçında sakatlanarak oyundan sedye ile çıkan Paul Onuachu'nun sağlık durumuyla ilgili açıklamada bulundu. Beşir açıklamasında, "Futbol A Takımımızın RAMS Başakşehir ile oynadığı karşılaşma esnasında sakatlanarak oyundan çıkan futbolcumuz Paul Onuachu’nun yapılan muayenesinde sol kasık bölgesinde kas (adduktor kas grubu) yaralanması ve sol önkolda darbeye bağlı ayrışmamış kemik (ulna) kırığı tespit edilmiştir. Oluşan kırık sebebiyle oyuncumuza en az 6 haftalık tedavi programı uygulanacaktır. Oyuncumuzun tedavisine sağlık ekibimizce başlanılmıştır" dedi.Öte yandan bordo mavili kulübün resmi sosyal medya hesaplarından Onuachu'nun sakatlık anına ilişkin “VAR’da göremediğiniz pozisyonun röntgen görüntüsü. #AdaletinizBatsın” şeklinde paylaşımda bulundu.