Rize Haber meritbet balmoral resort casino siteleri
Rize
Açık
10°
Adana
Adıyaman
Afyonkarahisar
Ağrı
Amasya
Ankara
Antalya
Artvin
Aydın
Balıkesir
Bilecik
Bingöl
Bitlis
Bolu
Burdur
Bursa
Çanakkale
Çankırı
Çorum
Denizli
Diyarbakır
Edirne
Elazığ
Erzincan
Erzurum
Eskişehir
Gaziantep
Giresun
Gümüşhane
Hakkari
Hatay
Isparta
Mersin
İstanbul
İzmir
Kars
Kastamonu
Kayseri
Kırklareli
Kırşehir
Kocaeli
Konya
Kütahya
Malatya
Manisa
Kahramanmaraş
Mardin
Muğla
Muş
Nevşehir
Niğde
Ordu
Rize
Sakarya
Samsun
Siirt
Sinop
Sivas
Tekirdağ
Tokat
Trabzon
Tunceli
Şanlıurfa
Uşak
Van
Yozgat
Zonguldak
Aksaray
Bayburt
Karaman
Kırıkkale
Batman
Şırnak
Bartın
Ardahan
Iğdır
Yalova
Karabük
Kilis
Osmaniye
Düzce
Rize
00:00:00
Akşam vaktine kalan
Ara

5 yaşındaki çocuğun yuttuğu toplu iğne, ameliyatla çıkarıldı

5 yaşındaki çocuğun yuttuğu toplu iğne, ameliyatla çıkarıldı

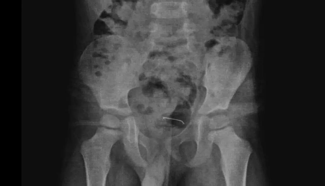
Özcan ÇİRİŞ/BİTLİS, (DHA)- BİTLİS'in Güroymak ilçesinde 5 yaşındaki çocuğun 9 ay önce yuttuğu, mesane duvarına yapışan toplu iğne, operasyonla çıkarıldı.

Güroymak'ta sürekli karın ağrısı şikayeti çeken 5 yaşındaki çocuk, ailesi tarafından çeşitli sağlık kuruluşlarına götürüldü. Sonuç alamayan aile, en son Tatvan Devlet Hastanesi'ne başvurdu. Burada çekilen röntgende, çocuğun mesane duvarında metal bir cisim olduğu belirlendi. 9 ay önce yutulan ve vücutta kalan 3 santimetrelik toplu iğnenin mesane duvarına yapıştığı tespit edilince ameliyata karar verildi.

'KESİCİ VE DELİCİ CİSİMLER ÇOK TEHLİKELİ'

Tatvan Devlet Hastanesi Çocuk Cerrahi Uzmanı Op. Dr. Tahsin Onat Kamçı tarafından gerçekleştirilen operasyonla, toplu iğne başarılı bir şekilde çıkarıldı. Gözlem altında tutulan çocuk, birkaç gün sonra taburcu edildi. Op. Dr. Tahsin Onat Kamçı "Cerrahi operasyonla 3 santimetre civarındaki toplu iğneyi çıkardık. Hastayı birkaç gün takipte tuttuk. Genel sağlık durumu iyi olan hastamızı taburcu ettik. Kesici ve delici cisimler çok tehlikeli. Bu gibi cisimlerin çocukların ulaşabileceği yerlere bırakılmaması gerekiyor" dedi. (DHA)

FOTOĞRAFLI