Rize Haber meritbet balmoral resort casino siteleri
Rize
Kapalı
10°
Adana
Adıyaman
Afyonkarahisar
Ağrı
Amasya
Ankara
Antalya
Artvin
Aydın
Balıkesir
Bilecik
Bingöl
Bitlis
Bolu
Burdur
Bursa
Çanakkale
Çankırı
Çorum
Denizli
Diyarbakır
Edirne
Elazığ
Erzincan
Erzurum
Eskişehir
Gaziantep
Giresun
Gümüşhane
Hakkari
Hatay
Isparta
Mersin
İstanbul
İzmir
Kars
Kastamonu
Kayseri
Kırklareli
Kırşehir
Kocaeli
Konya
Kütahya
Malatya
Manisa
Kahramanmaraş
Mardin
Muğla
Muş
Nevşehir
Niğde
Ordu
Rize
Sakarya
Samsun
Siirt
Sinop
Sivas
Tekirdağ
Tokat
Trabzon
Tunceli
Şanlıurfa
Uşak
Van
Yozgat
Zonguldak
Aksaray
Bayburt
Karaman
Kırıkkale
Batman
Şırnak
Bartın
Ardahan
Iğdır
Yalova
Karabük
Kilis
Osmaniye
Düzce
Rize
00:00:00
İmsak vaktine kalan
Ara

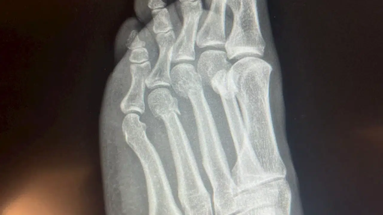
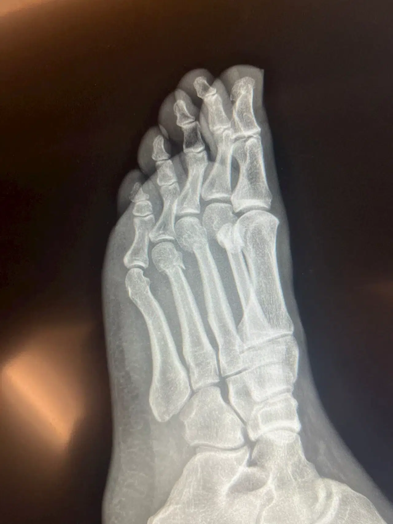
Özgür Özel'den, 'ayağından vuruldu' iddialarına röntgenli yanıt

Özgür Özel'den, 'ayağından vuruldu' iddialarına röntgenli yanıt

Aliekber METE/ANKARA, (DHA)- CHP Genel Başkanı Özgür Özel, 'ayağından vuruldu' yönündeki iddialara röntgen filmlerini paylaşarak yanıt verdi.

CHP Genel Başkanı Özgür Özel'in geçen hafta evinde geçirdiği kaza sonucunda ayağında kırıklar meydana gelmişti. Kazanın duyulmasının ardından bazı sosyal medya hesaplarında, Özgür Özel'in ayağından vurulduğu iddia edildi. Tartışmaların sürmesi üzerine Özel, ayağının röntgen filmlerini paylaştı. (DHA)

FOTOĞRAFLI