İlk Teşhis Yanılttı: “Enfeksiyon” Denildi
Gökhan ve Nalan Tekin çifti, kızlarını yaklaşık 4 ay önce şiddetli burun kanaması ve akıntı şikayetleri nedeniyle özel bir hastaneye götürdü. Yapılan kontrollerde ciddi bir bulguya rastlanmadığı belirtilerek küçük çocuğa enfeksiyon teşhisi konuldu ve ilaç tedavisi başlatıldı.
Ancak uygulanan tedaviye rağmen şikayetlerin devam etmesi, ailenin endişesini artırdı.

Gerçek Devlet Hastanesinde Ortaya Çıktı
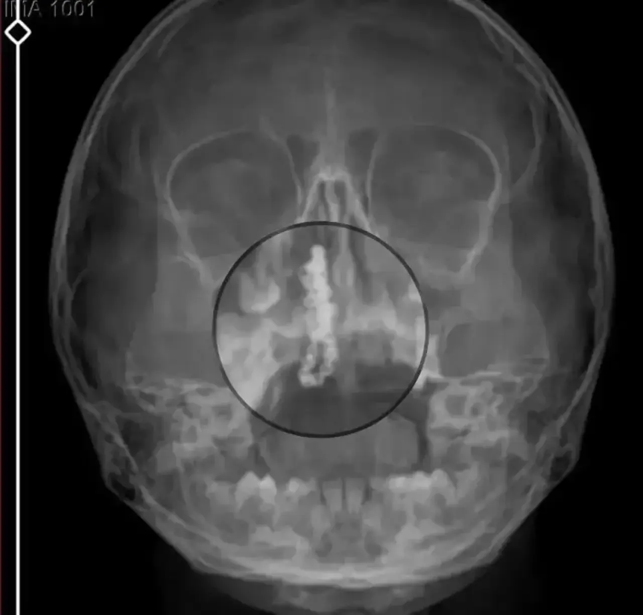
Şikayetlerin sürmesi üzerine aile bu kez Rize Devlet Hastanesi’ne başvurdu. Burada yapılan detaylı muayene ve röntgen incelemesi sonucunda, küçük çocuğun burnunda metal bir yabancı cisim olduğu tespit edildi.
Yapılan değerlendirmeler sonucunda bu cismin bir tırnak makasına ait zincir olduğu ve yaklaşık 2 yıldır burunda bulunduğu belirlendi.

Ameliyatla Çıkarıldı, Sağlığı İyi
Doktorlar tarafından gerçekleştirilen operasyonla yabancı cisim başarıyla çıkarıldı. Ameliyat sonrası bir süre gözetim altında tutulan küçük Polen’in sağlık durumunun iyi olduğu ve taburcu edildiği öğrenildi.

Aile Hukuki Süreç Başlatıyor
Yaşanan olay sonrası aile, ilk başvuruda yabancı cismin fark edilmemesi nedeniyle hukuki yollara başvuracaklarını açıkladı. Olay, sağlık kontrollerinde detaylı incelemenin önemini bir kez daha gözler önüne serdi.
Uzmanlardan Uyarı
Uzmanlar, özellikle çocuklarda uzun süren burun kanaması ve akıntı şikayetlerinin mutlaka detaylı şekilde araştırılması gerektiğini vurguluyor. Yabancı cisimler, erken fark edilmediğinde ciddi sağlık sorunlarına yol açabiliyor.